| 
 | 
 | 
| Das Zahnbleichen entstand als Nebenprodukt einer ganz anderen Behandlung: der Parodontaltherapie. | 
 
  | 
Viele Menschen leiden unter Zahnfleischentzündungen. Wenn es beim Abbeißen von einem Apfel oder beim Zähneputzen blutet, dann ist das Zahnfleisch krank. Die Ursache dieser Erkrankung ist zu wenig oder zu oberflächliches Zähneputzen über einen längeren Zeitraum. Dadurch kommt es zum Überhandnehmen von Entzündungsbakterien im Mund. Durch die Toxine dieser Bakterien schwillt das Zahnfleisch an und wird verletzlich (diesen Zustand hat Manfred Deix in seinen Bildern sehr anschaulich dargestellt). Zur Behandlung dieser Zahnfleischentzündungen werden unter anderem bakterienabtötende Mittel verwendet. Das Carbamidperoxyd-Gel etwa setzt aktiven Sauerstoff in den Zahnfleischtaschen frei, der Bakterien beseitigt. Als Nebenwirkung dieser zahnfleischdesinfizierenden Behandlung hat man gesehen, daß auch Verschmutzungen und Farbstoffe von der Zahnoberfläche gelöst werden, und dadurch die Zähne weißer werden.
![]()  | 
Diese ursprüngliche Nebenwirkung verwenden heute viele Menschen, die eigentlich ein gesundes Zahnfleisch haben, als gewollte Hauptwirkung zu ihrem Vorteil. Auch bei Menschen die ihre Zähne ordentlich pflegen, löst der aktive Sauerstoff des Carbamidperoxyd-Gels oberflächliche Farbstoffe und Verunreinigungen aus der Zahnoberfläche und das Resultat ist eine sichtbar hellere Zahnfarbe. | 
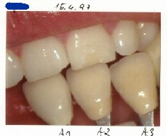
| In meiner Praxis schaue ich mir die Zähne von Patienten, die sich eine Aufhellung ihrer Zähne wünschen, zunächst genau an. Denn nicht alle Zähne sind für das Bleichen geeignet. So verändern etwa Porzellankronen ihre Farbe durch das Bleichgel praktisch nicht. Wir fertigen Vergleichsfotos der Patientenzähne mit einer Farbskala an (untere Bildhälften; Farben A1-A3), damit der Patient nach dem Zahnbleichen auch selbst die Aufhellung nachprüfen kann. Wir machen für jeden Patienten weiche, durchsichtige Gummischienen, die genau sitzend nach dem Gebißabdruck von Ober- und Unterkiefer angefertigt werden. Für zehn Nächte bekommt der Patient Bleichgel zu seinen Bleichschienen; dieses Bleichgel gibt man abends in die Bleichschienen und schiebt nach dem Zähneputzen die weichen Gummischienen über die Zähne. Dann geht man schlafen. Über Nacht löst langsam und schonend der Sauerstoff aus dem Bleichgel die Farbstoffe und Ablagerungen aus den Zähnen. Manche Menschen spüren in dieser Zeit eine vermehrte Empfindlichkeit ihrer Zahnhälse; das ist eine harmlose Nebenerscheinung, die sich nach Beendigung der Therapie wieder von selbst gibt. (Auch scharfe Zahnpasten haben manchmal so einen Effekt.) | ![]()  | 
![]()  | 
Die Bleichschienen behält der Patient nach dem Zahnbleichen. Manche Menschen haben nach einigen Jahren das Bedürfnis Ihre Zähne wieder einmal zu bleichen. Dann kann man sich preisgünstig das notwendige Bleichgel nachkaufen, und mit der gleichen, passenden Bleichschiene seine Zähne wieder aufhellen.
 Die gleichen Bleichschienen kann man aber auch verwenden, wenn man einmal das Pech hat eine Zahnfleischentzündung zu bekommen. Wie Anfangs beschrieben ist die ganze Therapie ja ursprünglich eigentlich zur Behandlung von Zahnfleischentzündungen entwickelt worden, und man kann sie deshalb natürlich auch für diesen Zweck verwenden.  |