Patientenrechte

und

Patientenschutz:

 

WELCHE PERSON arbeitet tatsächlich an Ihren Zähnen???

Mißstände in manchen österreichischen Zahnarztpraxen

Wenn Sie in ein Spital gehen erwarten Sie mit Recht, daß Sie von einem Arzt behandelt werden, und nicht vom Hausmeister oder der Putzfrau. Es würde Sie sicherlich wundern, wenn eine Krankenschwester Ihnen Ihre Diagnose stellte und der Portier Ihnen einen Fuß amputieren würde. Niemand sonst als jahrelang dafür ausgebildete Ärzte sind aus gutem Grund dazu berechtigt die ärztlichen Tätigkeiten auszuüben um Sie vor möglichen und vermeidbaren Schäden zu bewahren.

Das gleiche gilt auch in der Zahnarztpraxis. Niemand sonst als der ausgebildete Zahnarzt ist berechtigt in Ihrem Mund zu arbeiten. Nur er kennt alle Zusammenhänge und kann die Folgen seiner Tätigkeit abschätzen und vermeidbare Risiken ausschalten.

Lassen Sie es sich nicht gefallen wenn Hilfskräfte in Ihrem Mund Behandlungen vornehmen. Die einzigen Tätigkeiten im menschlichen Mund, die ausgebildeten Assistentinnen erlaubt sind, sind Reinigungsarbeiten im Rahmen der Mundhygiene.

Fäulnis unter neuer Füllung

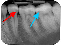
Foto des Zahnes 35 nach Entfernung einer neuen Füllung

Foto vom Zahn 37 mit Karies

Foto des Zahnes 37 der selben Patientin

Fallbeispiel:

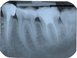
Hier sehen Sie wie es unter einer neuen, weißen Zahnfüllung aussehen kann, die eine Hilfskraft vorZahnröntgen mit Karies einer Woche gemacht hat. Die Patientin kam wegen arger Zahnschmerzen zu uns und im Röntgenbild konnte man unter der Füllung die Karies sehen. Das selbe traf auf einen zweiten Zahn zu. Alle Versuche die Situation zu retten blieben erfolglos und beide Zähne mußten wurzelbehandelt werden, um der Schmerzen Herr zu werden.

 

 

 

Es kann natürlich auch einmal nach einer Behandlung durch einen Zahnarzt röntgen nach 2 Wurzelbehandlungenzu Schmerzen in den Zähnen kommen, vor allem wenn Löcher in den Zähnen schon tief sind und fast bis zum Zahnnerv reichen. Aufgrund seiner Ausbildung und Erfahrung kann der Zahnarzt aber dieses Risiko viel besser abschätzen und den Patienten lange schmerzvolle Stunden ersparen. - Ganz abgesehen von der Tatsache, daß Behandlungen die nicht von Zahnärzten durchgeführt werden gegen das Gesetz verstoßen.

Zahntechniker, die die Herstellung von kieferorthopädischen Geräten und Zahnersatzstücken im Rahmen ihrer Berufsausbildung erlernt haben, sind nicht berechtigt im menschlichen Mund zu arbeiten. Es ist auch nicht der Hersteller eines Skalpells berechtigt deshalb eine Bilddarmoperation durchzuführen. Dasselbe gilt für die Produzenten von Kniegelenksprothesen, die auch nicht ihre Produkte selbst den Patienten einbauen können. Das tut dann selbstverständlich der Arzt in einer entsprechenden Operation die nur er erlernt hat.

Auch die Durchführung von Zahnregulierungen ist eine ärztliche Tätigkeit, die in seriösen Praxen selbstverständlich vom Zahnarzt ausgeführt wird. Es gibt tatsächlich bei uns Zahnarztpraxen wo ein Zahntechniker, der dafür weder ausgebildet noch dazu berechtigt ist, komplette kieferorthopädische Behandlungen - auch Multibandtherapien - an Patienten durchführt. Ich würde mich entschieden wehren, wenn eine Hilfskraft in meinem Mund oder im Mund meines Kindes Behandlungsschritte setzt, deren Folgen für die Zukunft sie oft nicht beurteilen kann. Achten Sie deshalb bei Ihrer Behandlung darauf wer tatsächlich in Ihrem Mund arbeitet! Solche Dinge haben wir in Österreich nicht notwendig, denn wir haben genug ausgebildete und qualifizierte Zahnärzte.

Unterschrift Dr.Beinl Praxislogo